Αισθητική Οδοντιατρική | Όψεις πορσελάνης
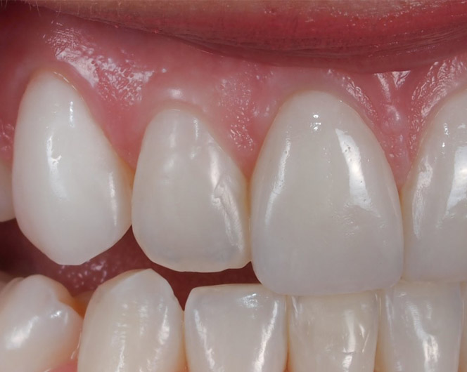
Η όψη πορσελάνης είναι ένα λεπτό κεραμικό κέλυφος που συγκολλάται στις προστομιακές επιφάνειες των προσθίων δοντιών.
Οι όψεις κρίνονται αναγκαίες για την αισθητική αναβάθμιση :
- δοντιών με δυσχρωμίες
- φθαρμένων δοντιών
- στραβών δοντιών
- σπασμένων δοντιών
- δοντιών με αεροδοντία ώστε να κλείσει το διάστημα μεταξύ τους


Ποια είναι η διαδικασία για να τις αποκτήσετε ;
Συνήθως απαιτούνται τρεις επισκέψεις στο οδοντιατρείο μας, ενώ κάθε μία από αυτές είναι ανώδυνη.
Σε πρώτη φάση γίνεται ένα σχέδιο θεραπείας όπου ο ιατρός συμφωνεί με τον ασθενή για τις προσδοκίες της θεραπείας. Παράλληλα γίνεται πλήρης στοματολογικός έλεγχος και αφού διαπιστωθεί ότι είναι κατάλληλες λαμβάνονται ακτινογραφίες και παίρνονται αποτυπώματα του στόματος και των δοντιών.

Στη δεύτερη επίσκεψη πραγματοποιείται η προετοιμασία των δοντιών που είναι να τροχιστούν. Ίσως προηγηθεί νάρκωση της περιοχής με τοπικό αναισθητικό μιας και η συγκεκριμένη διαδικασία απαιτεί απολύτως λεπτομερή εργασία. Έπειτα αποτυπώνονται τα τροχισμένα δόντια και το αποτύπωμα τους στέλνεται στο καταρτισμένο οδοντοτεχνικό εργαστήριο. Είναι σημαντικό η χρωματοληψία να γίνει με ηλεκτρονικό φασματογράφο (spectrophotometer). Στο μεσοδιάστημα παρασκευάζονται προσωρινές αποκαταστάσεις για την αισθητική κάλυψη των τροχισμένων δοντιών.
Στην τρίτη επίσκεψη ελέγχεται το σχήμα των όψεων καθώς και το χρώμα τους το οποίο πρέπει να έρχεται σε αρμονία με το χαμόγελου του ασθενούς. Στη συνέχεια κολλιούνται στις επιφάνειες των δοντιών με ειδική ρητινώδη κονία.


Διάρκεια ζωής των όψεων
Η διάρκεια ζωής τους είναι αρκετά μεγάλη αρκεί να αποφεύγεται η μάσηση σκληρών τροφών με αυτές όπως κόκαλα, ξηροί καρποί καθώς και σκληρών αντικειμένων σε γενική βάση. Επίσης η τήρηση των βασικών κανόνων στοματικής υγιεινής είναι αναγκαία. Ένα από τα βασικά τους πλεονεκτήματα είναι η αντίσταση στη χρώση οπότε μην άγχεστε για την παρουσία χρωστικών κηλίδων σε αυτές.

Γεώργιος Παπαδογεωργάκης | Χειρουργός Οδοντίατρος
