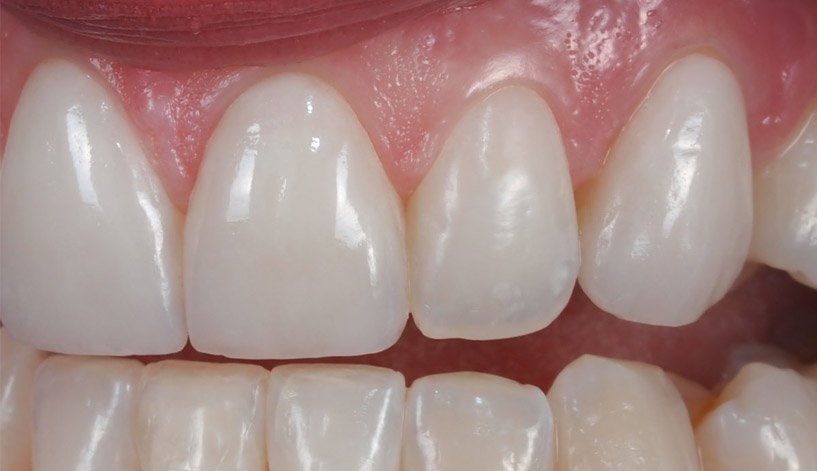
Αισθητική Οδοντιατρική | Όψεις Ρητίνης
Οι όψεις ρητίνης (bonding) είναι μια τεχνική της αισθητικής οδοντιατρικής για την αποκατάσταση ή τη βελτίωση του χαμόγελου ενός ατόμου. Πρόκειται για όψεις (φλούδες) από ρητίνη με τις οποίες μπορούμε να αλλάξουμε το χρώμα, το σχήμα και σε μερικές περιπτώσεις την κλίση των δοντιών, αν είναι αυτά στραβά.
i) Από τι υλικό φτιάχνονται οι όψεις ρητίνης ?
Αποτελούν πολύ λεπτά φύλλα σύνθετης ρητίνης τα οποία συγκολλιούνται στην εξωτερική επιφάνεια των δοντιών με ειδικό συγκολλητικό παράγοντα. Οι όψεις ταιριάζουν στο φυσικό χρώμα των δοντιών μας και φυσικά στο σχήμα τους.
ii) Τι αισθητικά προβλήματα έχουν τη δυνατότητα να διορθώσουν ?
- Αποκατάσταση σε μικρά κατάγματα ή ραγίσματα των δοντιών μας
- Επισκευή φθαρμένων από την τερηδόνα δοντιών
- Την πλήρωση κενών ανάμεσα στα δόντια
- Την επιμήκυνση των δοντιών
- Την αλλαγή σχήματος των προσθίων
- Χρησιμοποιούνται σε δυσχρωμίες δοντιών
- Δυσπλασίες της αδαμαντίνης

iii) Ποια είναι τα πλεονεκτήματα των όψεων ρητίνης
Είναι μία οικονομική λύση για την άριστη αισθητική αποκατάσταση των μπροστινών δοντιών μας, σε σχέση με τις πολυδάπανες όψεις πορσελάνης ή τις ογκώδεις στεφάνες τα οποία κατασκευάζονται στο οδοντοτεχνικό εργαστήριο.
Είναι μία καθαρά συντηρητική θεραπεία όπου δεν αφαιρείται το σμάλτο των δοντιών αλλά προστίθεται ένας πολύ λεπτός φλοιός ρητίνης.
Αποτελεί μία απολύτως ανώδυνη διαδικασία όπου η χρήση αναισθησίας είναι περιττή.
Απαιτείται συνήθως μόνο μία επίσκεψη λίγων ωρών στο χώρο του ιατρείου χωρίς να είναι απαραίτητη η κατασκευή τους στο εργαστήριο.
Δεν χρειάζεται η λήψη αποτυπωμάτων

iv) Ποια είναι τα μειονεκτήματα των όψεων ρητίνης
Έχουν μικρότερη αντοχή σε σχέση με τα κεραμικά υλικά των όψεων πορσελάνης ή των στεφανών και υπάρχει η πιθανότητα ραγίσματος ή κατάγματος υπό μεγάλη πίεση.
Δεν μπορούν να αντισταθούν στην εναπόθεση χρωστικών ουσιών τόσο αποτελεσματικά όσο τα κεραμικά υλικά με αποτέλεσμα σε βάθος χρόνου να χάνουν το αρχικό τους χρώμα και την αντανάκλαση τους.
Είναι κατάλληλες για μικρές αισθητικές αλλαγές οι οποίες αφορούν την μπροστινή εξάδα των δοντιών μας όπου οι μασητικές δυνάμεις είναι χαμηλές.
Δεν είναι κατάλληλες για βρουξιστές.

v) Τι προσέχουμε μετά την εφαρμογή τους
Ελαχιστοποιούμε την κατανάλωση τσιγάρου, καφέ, τσαγιού, κόκκινου κρασιού και γενικότερα ουσιών οι οποίες μπορεί να προκαλέσουν χρωματισμό των όψεων, ιδιαίτερα τις τρεις πρώτες μέρες μετά την τοποθέτηση τους.
Βουρτσίζουμε συχνά τα δόντια μας, τουλάχιστον δυο φορές ημερησίως και χρησιμοποιούμε οδοντικό νήμα.
Αποφεύγουμε κάθε τροφή τις πρώτες δύο ώρες μετά την τοποθέτηση τους.
Χρησιμοποιούμε στοματικό διάλυμα το οποίο δεν περιέχει χλωρεξιδίνη.
vi) Μπορούν να αφαιρεθούν οι όψεις ?
Μπορούμε να απομακρύνουμε τις όψεις ρητίνης σχετικά εύκολα.

vii) Θα φαίνονται φυσικά τα δόντια σας ?
Η απάντηση είναι ΝΑΙ. Θα διαπιστώσετε και εσείς και ο περίγυρος σας μία απροσδιόριστη θετική αλλαγή στο λαμπερό και υγιές χαμόγελο σας.
vii) Πρέπει να προσέχουμε περισσότερο μετά την τοποθέτηση τους?
Να τονίσω εδώ ότι τα δόντια μας δεν είναι εργαλεία κοπής αντικειμένων που τυχαίνει να βρίσκονται στα χέρια μας. Ότι προσοχή δίναμε και πριν στα ευπαθή πρόσθια δόντια μας, την ίδια ακριβώς θα δίνουμε και στη νέα βελτιωμένη μορφή τους.
Γεώργιος Παπαδογεωργάκης | Χειρουργός Οδοντίατρος
