Επανορθωτική Οδοντιατρική | Οδοντοστοιχίες
Τα τελευταία χρόνια οι εξελίξεις στον τομές της οδοντιατρικής μας βοήθησαν να κατανοήσουμε ότι η απώλεια των δοντιών δεν είναι ένα αναπόφευκτο επακόλουθο της γήρανσης.
Με τακτική οδοντιατρική φροντίδα και σωστή υγιεινή μπορούμε να κρατήσουμε τα περισσότερα φυσικά μας δόντια για όλη μας τη ζωή.
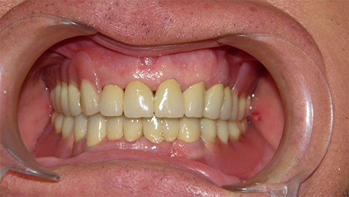
Οι ολικές οδοντοστοιχίες είναι κινητές προσθετικές εργασίες που χρησιμοποιούνται για την αντικατάσταση των δοντιών που έχουν χαθεί στην άνω ή την κάτω γνάθο. Εγκαθίστανται στο στόμα αφού έχουν χαθεί ή αφαιρεθεί όλα σας τα δόντια και τα ούλα έχουν επουλωθεί.
Ουσιαστικά είναι ένα τεχνητό υποκατάστατο των φυσικών σας δοντιών και στη μορφή της αποτελείται από μία ακρυλική(πλαστική) βάση πάνω στην οποία είναι τοποθετημένα στην κατάλληλη θέση δόντια πορσελάνινα ή ακρυλικά.


Για την κατασκευή της απαιτούνται ειδικές γνώσεις τις οποίες μόνο ένας έμπειρος οδοντίατρος διαθέτει, ενώ ο οδοντοτεχνίτης ως συνεργάτης του οδοντιάτρου θα διεκπεραιώσει τα εργαστηριακά στάδια της κατασκευής.
Οι μερικές οδοντοστοιχίες αντικαθιστούν λίγα ή περισσότερα δόντια και στηρίζονται στα υπόλοιπα με μεταλλικά άγκιστρα ή κρυφούς μηχανισμούς (συνδέσμους ακριβείας ή attachments).
Αποτελούνται από μεταλλικό σκελετό, ακρυλική (ροζ) βάση και τεχνητά ακρυλικά δόντια.
Όπως και οι ολικές οδοντοστοιχίες, δεν είναι μόνιμα κολλημένες στο στόμα, αλλά τοποθετούνται και αφαιρούνται αρκετές φορές κατά τη διάρκεια της μέρας.
Οι μερικές οδοντοστοιχίες επεκτείνονται και στις δύο πλευρές του στόματος ανεξάρτητα από το αν έχουν χαθεί δόντια μόνο δεξιά ή μόνο αριστερά.


Γεώργιος Παπαδογεωργάκης | Χειρουργός Οδοντίατρος
