Αισθητική Οδοντιατρική | Bonding
Ένα ωραίο χαμόγελο διαθέτει αναμφισβήτητη δύναμη και γοητεία.
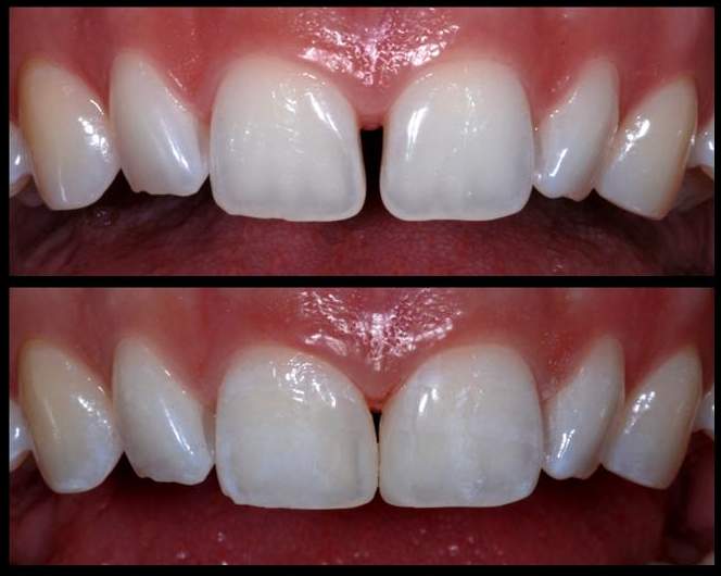
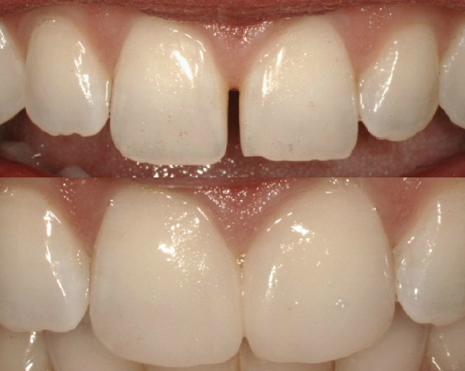
Το Bonding δοντιών αποτελεί μία σύγχρονη μέθοδο αποκατάστασης ενός χαμόγελου πετυχαίνοντας ένα αποτέλεσμα απόλυτα φυσικό και λαμπερό.
Με τον τρόπο αυτόν μπορούμε να επέμβουμε στο σχήμα και το χρώμα των δοντιών μας με σύνθετες ρητίνες διαστρωμάτωσης, κάτι το οποίο πραγματοποιείται συνήθως χωρίς τρόχισμα των δοντιών.


Το Bonding απευθύνεται σε όσους επιθυμούν :
- Να μειώσουν η και να εξαλείψουν κενά σε αραιά δόντια
- Να βελτιώσουν την εμφάνιση δοντιών με δυσχρωμίες
- Να καλύψουν ρωγμές
- Να επιμηκύνουν την όψη δοντιών
Πρέπει να τονιστεί ότι οι παρεμβάσεις αυτές γίνονται ανώδυνα και συνήθως σε μία μόνο επίσκεψη. Η βελτίωση η οποία επιτυγχάνεται μετά από μία επιτυχημένη αισθητική επέμβαση, είναι σίγουρο ότι θα ωφελήσει ψυχολογικά το άτομο αυξάνοντας την αυτοπεποίθηση του, την αυτοεκτίμηση και την εμπιστοσύνη στον εαυτό του. Σε κάθε περίπτωση είναι σημαντικό να γίνεται εξαρχής ο σωστός συνολικός σχεδιασμός, ο οποίος θα λαμβάνει υπόψιν του τους κανόνες του smile design όπως τη γραμμή του χαμόγελου και των ούλων, τη σύγκλειση των δοντιών της άνω και κάτω γνάθου, ώστε να αποφεύγονται φθορές και κατάγματα.

Περιορισμοί
- Τερηδονισμένα δόντια της πρόσθιας
- Δόντια με προβλήματα περιοδοντίου (ουλίτιδα-περιοδοντίτιδα)
Σε αυτά τα άτομα προηγείται η θεραπεία των δοντιών με κάποιο σφράγισμα ή ένα καθαρισμό και στη συνέχεια ολοκληρώνεται η επιθυμητή θεραπεία.
Πλεονεκτήματα
Θεωρείται ο οικονομικότερος τρόπος αισθητικής αποκατάστασης των πρoσθίων.
Γεώργιος Παπαδογεωργάκης | Χειρουργός Οδοντίατρος
